Challenging Challenges: Cancer

     

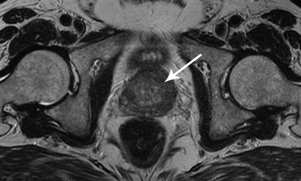
OK, let’s get on with it. Yesterday I had my first treatment for cancer, prostate cancer, that has spread to the bone, to be precise. Today, it doesn’t seem that any side effects have kicked in. Praise God!

      This is uncharted territory for both of us. Then again, that is what Starr and I have given our lives to most of the time. Forging creative ways to be Christians in secular society, thinking deeply about the communication of the Christian message to an increasingly naïve, broken, and angry world. Moving the Gospel format from a Problem-Solving Model to a Fulfillment Model was a shift some are still not comfortable with.

     And many of our friends are still shocked that after 40 years in New England we moved to Colorado. We seriously love living by our beloved mountains. Few of our East Coast friends realized how much they were a part of our soul.

     This cancer certainly qualifies as one of life’s Challenging Challenges. On one hand, we are quite aware of the seriousness of this situation. On the other, we, I have utter confidence in the God we love that He is in absolute control. There is a great assurance and inner peace that goes with that. For those who have just this life, it makes no sense.

     Frederick Nietzsche, one of my distant influencers [who most Christians thought was attacking our faith], once said that “those who danced were thought to be completely mad by those who could not hear the music.”  I find the Christian life to be much like that in front of the normal people around us. They march to a different drummer. We follow a path of total dependence on the God of the universe who has called us to Himself. And we like His music.

         I often say in jest God is full of surprises…, don’t trust Him. You know I mean exactly the opposite. For once you put your trust in the God of heaven & earth, your need to control the world around you falls into the proper perspective.

     At the end of John’s gospel, chapter 21, Jesus asks Peter repeatedly if he loves Him. Finally, Peter replies in desperation, “Lord, you know everything: you know that I love you.” Jesus’ reply—

Feed my sheep.

     Our Lord is always asking us the same question. Do you love me? Will you continue to make a difference in My Name?

     Even with cancer?!? Yes, even with that.

Honor God, honor people, make a difference,

Gary

Dr. Gary Davis, President

Leave a comment